Av. del Paral·lel 84, Barcelona

Air abrasion. Minimally invasive tooth decay treatment

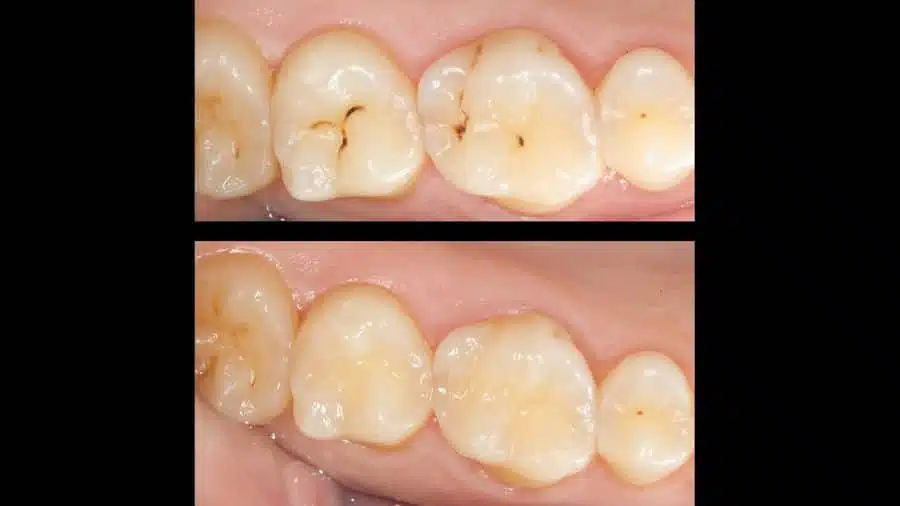
Dental air abrasion is a minimally invasive method of treating caries, with no discomfort, vibrations or high-pitched sounds

Thanks to the latest developments in dentistry, it is now possible to offer you very comfortable dental treatment. Nevertheless, for many people the traditional high-pitched sound of rotating instruments is still very unpleasant.

The air abrasion treatment system consists of using a spray of 30 – 80 micron aluminium oxide particles to eliminate the caries tissue without the need for a burr (the classic drill with the high-pitched sound). The instrument does not touch the tooth, only the spray does, and so the vibration is barely noticeable.

Furthermore, the use of air abrasion means we can cure even extremely small caries. It is a minimally invasive method for treating caries. The combination of early detection (DIAGNOdent, radiovisiography, endoscopy, etc.) with minimally invasive caries treatment improves and simplifies the maintenance of dental health. In this manner we can cure caries with minimal repair work, maintaining the maximum amount of healthy tooth as possible, with no need for anaesthesia, with no discomfort, in a short time, inexpensively and with a better long-term outcome.

Dental air abrasion is a minimally invasive method of treating caries, with no discomfort, vibrations or high-pitched sounds

Dental air abrasion is a minimally invasive method of treating caries, with no discomfort, vibrations or high-pitched sounds

Dental air abrasion is a minimally invasive method of treating caries, with no discomfort, vibrations or high-pitched sounds
Dental air abrasion is a minimally invasive method of treating caries, with no discomfort, vibrations or high-pitched sounds
Ares con un cachorro
Ares junto a un ibon

Ares

Receptionist

Our efficient receptionist is always ready to help, and attends to everyone with a smile. She is also a specialist in osteopathy and massage. She loves the mountains, the beach and animals.

Angels en la montaña

Angels

Commercial
Department

Our Head of Customer Service among a thousand other things. She organises fantastic team activities for us. She has recently become a proud grandmother. She loves weekend getaways, arts and crafts, and makes a party out of any tradition.

foto de Isabel en la playa

Isabel

Periodontics

Another of our gum specialists, although she is always training in other specialities and has an infinite interest in learning about any subject. She loves the beach because it helps her to ‘reset’ every August.

foto Dra. Gemma Mayor con su perro

Dra. Gemma Mayor

Oral Rehabilitation

Specialist in Oral Surgery and in alternative integral therapies such as Neural Therapy, Mastication-Respiration Rehabilitation,… She loves dancing, yoga, self-knowledge, travelling, animals and living as much as possible in contact with nature.

La Dra. Jennifer Martín cantando
La Dra. Jennifer Martín practicando el senderismo

Dra. Jennifer Martín

Oral Rehabilitation

She has collaborated with the clinic since she finished her degree and is a lecturer on the Postgraduate Course in Advanced Aesthetics that we teach for other dentists at the Catalan Society of Dentistry. She devotes much of her free time to continuing her education, but she also loves flamenco, ballet, playing the guitar and singing.

zapatillas de baile clásico
Anna jugando al sumo

Anna

Auxiliary

Anna, in addition to assisting Dr. José Luis Padrós, is in charge of organising the entire stock of materials, especially the implants. She loves going to her village with her children and meeting friends.

La Dra. Margarita Monterrubio montando a caballo
La Dra. Margarita Monterrubio haciendo senderismo

Dra. Margarita Monterrubio

Orthodontics and General

Co-director of the clinic. Although she has worked in all specialties, what she enjoys most is orthodontics, both in adults and children. In addition to patient care, she is also part of the clinic’s management. As a good islander (she is Mallorcan) she loves the sea, the beach, nature and her great passion is animals, especially horses.

La Dra. Inés Fernández Guallart aficionada al teatro

Dra. Inés Fernández Guallart

Oral rehabilitation

Collaborator for some years in the clinic and associate lecturer in the Postgraduate course in Advanced Aesthetics that we teach for other dentists in the Catalan Society of Dentistry. Lecturer at the University of Barcelona. She specialised in the United States in implantology and oral rehabilitation, endodontics, aesthetics, periodontics… She loves theatre, dressing up, travelling, nature walks, and all kinds of handicrafts.

foto Cristina escalando en roca
foto Cristina subiendo por una escala

Cristina

Auxiliary, Hygienist

Another of our veterans. She is very skilled in all laboratory work, and masters all specialities as an assistant and hygienist. She now assists our collaborators, Dr. Fernández and Dr. Martín. She enjoys hiking and playing beach tennis.

zapatillas de baile clásico
mujer acariciando a un gato

Rosa

Auxiliary, Hygienist

Incredible as it may seem, she has been with us for 30 years. He is a hygienist, although she masters all areas of the profession, she is a specialist in “Platelet Rich Plasma”, she is Dr. Monterrubio’s assistant, and she also helps Dr. Padrós to coordinate the Postgraduate Course in Advanced Aesthetics which she directs at the Catalan Society of Odontology. She always makes sure that we are all well. Passionate Ballet and loves cats and travelling.

primer plano de Pilar
Pilar haciendo trecking

Pilar

Auxiliary

She has been working with Dr. Esteban Padrós for a lifetime. Both joined our team definitively in 2020, and we are delighted to have them on board. She loves walks in the mountains and nature.

El Dr. Esteban Padrós dibujando
El Dr. Esteban Padrós practicando la fotografía

Dr. Esteban Padrós

Oral rehabilitation

Cousin of Dr. José Luis Padrós, he has been working with us for many years. Fortunately, in 2020 he moved to our clinic permanently. He is also an associate professor in the Postgraduate in Advanced Aesthetics that we teach for other dentists in the Catalan Society of Dentistry. He masters all specialties, and has special skills with the new 3D digital design programs, adapting easily to all new technologies. He loves drawing, photography, sports, travelling, reading, listening to music and cinema.

Raquel riendo con su hija
Raquel leyendo y haciendo senderismo con su hija

Raquel

Periodontics

She is one of our gum specialists, although she really helps us with a thousand other things. She started with us when she was very young. She loves reading, dogs, walks in the countryside, she is an excellent cook, but what she enjoys most is doing any of these things with her wonderful daughter.

El Dr. José Luis Padrós en el gimnasio

Dr. Jose Luis Padrós

Scientific Director

Alma mater of our clinic. Director of the Postgraduate Course in Advanced Aesthetics that we teach for other dentists at the Catalan Society of Dentistry. Insatiable supplier of new techniques and materials, especially in the fields of dental aesthetics, rehabilitation with prostheses and implantology. He spends much of his free time preparing for the training he gives, but still finds time to cycle, ski, play tennis, golf and paddle tennis.

foto Inés primer plano
foto Inés practicando sernderismo

Inés

Maintenance

She has been in the family since she was very young. She keeps our clinic spotless and magazine-ready following strict cleaning protocols. She loves walks in the countryside, picking asparagus and mushrooms, cooking, handicrafts, she is a painter and enjoys trips with her friends.

foto Esther en África con niños
foto Esther en África comiendo con unos niños

Esther

Periodontics

Gum specialist. She is a dreamer, creative, involved in a thousand social causes. She is in love with Africa, especially with her children.